#把健康带回家##生命摆渡人##了不起的中国医师#承蒙各位结友的信任和支持,我“假手术”的名气是越来越大了。但我对于名气这个事情倒是看的“云淡风轻”,原因很简单,因为我觉得这个是应该的,是必然的;是一个医生为患者必须做好的事情。没有各位的以命相托,哪会有我们一起的改变未来?
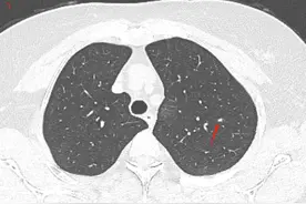
对于刚发现的直径比较小的肺磨玻璃结节,观察一段时间,看看它的变化,再决定是不是手术,是绝对安全的。有一位家住天津55岁的女士,偶然的原因拍胸部CT,发现了肺部有两个磨玻璃结节,她带着片子过来找我看,我看到这两个结节都比较靠近外周,大的那个有6毫米,看起来恶性的可能性比较大,但直径比较小,可以再观察一下。
简单来说,他们也和小孩子一样,从小婴儿开始慢慢成长,努力锻炼生存技巧,并最终获得侵袭转移的能力。而1cm以下的小肺癌尚处于襁褓期,侵袭性通常很弱,不会发生淋巴结转移,如果能在这个阶段进行干预,效果自然也很好。