孩子长了难看的“双排牙”怎么办?专家:多给孩子啃食硬食物
近日,一名6岁女童欣欣(化名)下门牙突然松动,但一直没脱落,妈妈查看发现,女儿竟长出了“双排牙”。对此,广州医科大学附属口腔医院越秀院区儿童口腔科张云燕副主任医师表示,“双排牙”十分常见,家长们不需要太过担心。日常生活中可以让孩子多用牙啃咬玉米、苹果等有一定硬度的食物,保持对乳牙和颌骨的刺激,让乳牙安心“退休”,自然脱落。

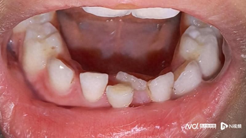
欣欣(化名)的“双排牙”(广州医科大学附属口腔医院儿童口腔科摄)
“双排牙”是因为“吃软怕硬”
“双排牙”主要是指恒牙已经萌出,但乳牙没有及时脱落,而造成乳牙和恒牙并列生长在牙槽嵴上,导致恒牙偏离牙弓的情况,医学上称为乳牙滞留,最常见于下颌乳中切牙滞留。除了乳牙滞留,多生牙也会造成“双排牙”的发生。
很多家长反映,自己小时候乳牙都是自然脱落的,为什么现在大多数孩子都长“双排牙”,不能自己换牙?广州医科大学附属口腔医院越秀院区儿童口腔科郭艺佳医生表示,“‘双排牙’的发生通常都是因为家长的‘爱’,给孩子吃的食物太过精细了。”
一般情况下,从6岁左右开始,下颌的乳前牙开始脱落,恒牙逐渐萌出。在恒牙发育过程中,牙胚逐渐移动,靠近乳牙根,导致乳牙牙根发生生理性吸收,逐渐松动,最后完全失去与牙周组织的联系而脱落,恒牙从下面顶出来,逐渐萌出。

多生牙导致“双排牙”
现在的家长们担心孩子进食不便,经常帮孩子把食物用剪刀剪成小块或者把水果榨成果汁再给孩子吃,孩子们食物过软、过细,咀嚼力不足,乳牙得不到相应的锻炼和生理刺激,牙根不被吸收,同时颌骨发育不足,导致乳牙无法自然脱落。
出现“双排牙”,只能拔牙吗?
孩子出现“双排牙”,拔还是不拔?郭艺佳医生表示家长们不需要太过着急,“可以先查看孩子乳牙的松动程度。如果相应的乳牙已经有明显松动,可以等其自行脱落,或可通过让孩子啃玉米或苹果等有一定硬度的食物,促进其自行脱落。如果恒牙位置太靠内侧,远离乳牙牙根,乳牙不太松动,那么自行替换的可能性不大,应该及时带孩子去医院拔除滞留乳牙。”

乳牙滞留
对于小朋友们最担心的问题——拔除滞留乳牙会不会很疼?郭医生解释,拔除乳牙会有一点点不舒服的感觉,但是不会剧烈疼痛。医生会根据滞留乳牙的松动情况选择适合的麻醉方式,最大程度地减轻孩子在拔牙时的疼痛感觉。
那么,长歪的新牙用不用矫正?郭医生建议:定期观察。“双排牙”的发生主要是因为孩子颌骨发育不足,新长的恒牙没有足够的位置生长,才出现长歪的情况。这时就需要及时拔除滞留的乳牙,为恒牙腾出位置,随着孩子舌头的运动和下颌骨的不断生长,恒牙可逐渐自行向正确的位置移动。但如果恒牙无法自行回归正确的位置,后续就需要进行正畸治疗。同时也不建议拔除其他邻近的乳牙,拔除邻近乳牙只能暂时缓解拥挤,反而可能导致更严重的牙齿排列问题。
采写:南都记者 曾文琼
实习生:张佳仪
通讯员:刘凤屏 李耀文 郭千千