借“镜”探“洞” 水落石出——谈谈那些支气管镜才能探查到的病症
他们都说自己
肺上长了个“洞”


图1 叶某,间断咳嗽伴发热3月

图2 李某某,间断咳嗽、气短半年

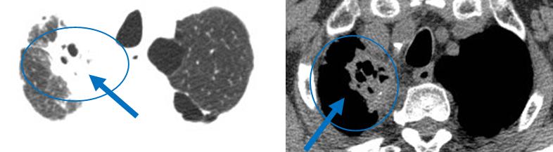
图3 王某某,自觉消瘦1年
然而他们的气管镜下分别看到的是


图1 叶某,左肺下叶背段管腔外压性狭窄,肺泡灌洗液查病原体结果为厌氧菌感染,追问病史,1年前小诊所安装假牙,近3月口腔出现异常臭味。经对症治疗后好转出院。

图2 李某,痰栓堵塞右肺上叶管口,经镜下吸引后管腔通畅,好转出院。

图3 王某某,镜下可见左肺舌叶黏膜充血水肿,灌洗液查病原体结果为放线菌感染,给予对症治疗后好转出院,半年后复查病灶完全吸收。
以上患者们相似的影像学表现却有大相径庭的镜下所见,可见做CT并不能替代气管镜检查,他们之间实际上是一种相互补充的关系。随着医疗水平不断地发展,电子支气管镜作为一项常规检查已广泛应用于临床,大大提高了各类肺部疾病的诊断效率及诊疗水平。但由于传统的支气管镜检查在局麻的操作下痛苦较大,以至于很多患者“宁死不做”,谈“镜”色变,还没“上阵”就望而却步,耽误了疾病的最佳诊治时机。

支气管镜检查可使许多隐藏在气管、支气管及肺内深部难以发现的疾病,在无需体表开刀的情况下就能得以诊断及治疗,可使许多病人免除开胸手术之苦,而且费用还相对低廉。目前我科也引进了数种更精良的气管镜装备,并开展了更易接受的无痛支气管镜检查技术,年均气管镜例数近千例,这项检查的痛苦已逐渐降至最低,常常感觉是“睡一觉醒来发现检查已经结束了”。当然,选择哪种麻醉方式,医生也是结合患者意愿以及病情需要综合判断。

为了帮助大家正确认识支气管镜检查,减少不必要的恐惧,今天让我们一起揭开关于支气管镜检查的那些“面纱”。
支气管镜是一种带光源、镜头的软镜,通过口或鼻置入患者下呼吸道,用来进行肺和气管、支气管病变的观察、活检、采样,也可用来做细菌学和细胞学检查,配合外接的电视系统可进行摄影和记录。


那支气管镜都适用于
哪些病症呢?

1、诊断方面,支气管镜检查可对以下症状做出明确诊断:
不明原因的咯血,尤其是40岁以上患者,持续一周以上的咯血或痰中带血;
不明原因的慢性咳嗽(支气管结核、气道良性和恶性肿瘤、异物吸入);
不明原因的局限性哮鸣音(气道狭窄);
不明原因的声音嘶哑(喉返神经损伤引起声带麻痹,咽喉或纵隔内新生物);
痰中发现癌细胞或可疑癌细胞;
X线胸片或CT检查异常者(肺不张、肺部块影、阻塞性肺炎、肺炎不吸收、肺部弥漫性病变、肺门或纵隔淋巴结肿大、气管支气管狭窄、原因不明的胸腔积液等);
临床已诊断肺癌,决定行手术治疗前的检查(指导手术范围,估计预后);
胸部外伤,怀疑有气管支气管裂伤或断裂;
肺或支气管感染性疾病的病因学诊断;
疑有食道气管瘘的确诊。
2、治疗方面:
取出支气管异物;
清除呼吸道异常分泌物;
对插管困难者,通过支气管镜引导进行气管插管;
对咯血患者行局部止血;
对良性肿瘤或恶性肿瘤进行激光、微波 、冷冻或高频电刀治疗;
经支气管镜置入支架治疗气道狭窄。
注意事项

检查前:
1、避免紧张焦虑,保持情绪稳定。
2、术前签署手术知情同意书。
3、完善术前检查:包括胸部CT、心电图、血常规及凝血功能。
4、术前禁食禁饮4-6小时。
5、如有发热、血压升高、心动过速等应休息,待生命体征平稳后再行检查。
6、检查前排空膀胱,取下眼镜、活动性假牙等。
7、检查当日必须要有一名家属陪同。
8、服用抗血小板或者抗凝药的检查前需要适当停用。

检查中:
尽量选择仰卧位,不能仰卧位者也选坐位或半坐位,当纤支镜进入声门时可能出现恶心、咳嗽、气憋等反应,应放松精神、张口呼吸、不能抬头或摇头,有特殊不适可以举手示意。

检查后:
1、术后出现痰中带血丝为正常现象,如有整口鲜血或出现呼吸困难等,请及时告知医护人员处理。
2、多休息,尽量少说话,以减轻声音嘶哑、咽喉部及胸部疼痛不适。
3、术后禁食禁饮2~3小时,3小时后可以试喝温水,如果无呛咳方可进食,以低温清淡软食为宜。

科室简介


西安市中心医院呼吸与危重症医学科成立于1975年,是医院的重点科室,陕西省临床重点专科,西安市医学会重点学科,西安市医学会呼吸结核分会主委单位,陕西省医师协会、陕西省抗癌协会等多个学会的副主委及常委单位,中国肺癌防治联盟,陕西省呼吸重点专科联盟,西安市慢性呼吸系统疾病防治中心等。2019年通过国家PCCM规范化建设项目评审;享有“西安市有突出贡献专家”称号。科室技术力量雄厚,人才结构合理,拥有一支素质高、业务精良的临床及科研队伍。全科共有18名医师,护士28名。
病房设置(普通病床70张、RICU7张)。门诊设置专科门诊,专病门诊(肺结节、慢性阻塞性肺疾病、支气管哮喘、肺癌、肺血管及肺间质疾病、睡眠、戒烟及门诊综合治疗室)、呼吸内镜室、肺功能室、睡眠呼吸疾病诊疗室。未来的日子里,呼吸与危重症医学科人团结一致,以饱满的热情,昂扬的斗志,传承医学精华,心系百姓,真情奉献,爱洒人间,一起迈向更加辉煌灿烂的未来!
END
作者:呼吸与危重症医学科 赵萱
编辑:宣传科 严 格
审核:宣传科 张 狄
(文中部分图片源自网络,如有侵权请联系删除)