间断双腿无力,竟是因为这个罕见病

间断双腿无力,会是什么原因?
作者:刘玥
文源:“神经科学”公众号

65岁的王先生3年前出现走路的时候间断双腿无力,需要休息一下才能继续行走。症状越来越严重,他去医院检查,做了腰椎核磁共振,甚至做了下肢血管造影,用了一些药物,可是症状并没有缓解。
后来他开始觉得小便困难,以为是前列腺增生,吃了一些治疗前列腺增生的药物,也没有觉得有什么改善。
2月前王先生突然觉得腰背疼痛,双腿无力,不能行走。再次来到医院,这次做了一系列检查,医生告诉他,他得了一种罕见疾病——硬脊膜动静脉瘘(Spinal Dural Arteriovenous Fistula,SDAVF )。
硬脊膜动静脉瘘是1974年来才逐渐被人们认识的一种椎管内血管畸形,是在包绕脊神经根的近端硬膜处及其周围出现动静脉交通性病变。年发病率为(0.5~1)/10万,虽然发病率极低,但却是一种最常见的脊髓血管畸形(约占其总数的70%)。大多数患者为自发起病,发病原因不明,可能与硬脊膜外静脉丛或静脉窦循环障碍有关。发病年龄为22~76岁,中老年患者多见,绝大多数为男性患者,占86.6%。
SDAVF一旦患病,症状将进行性加重,最后导致神经系统不可逆损害。经治疗后虽症状可减轻或消失,但也可加重或复发。它的病程较长,从出现症状到明确诊断平均需要2.7年,因首发症状可以是间歇性跛行,常被误诊为下肢动脉疾病。一般2年内双下肢或排尿、排便等功能进行性恶化,2~4年出现截瘫。可因运动、某种特定体位、做Valsalva动作等导致静脉压力升高,引起症状加重。

图1 磁共振矢状面

图2.磁共振轴位及冠状位
目前认为引发病人脊髓损伤症状的原因是冠状静脉丛静脉压缓慢升高导致髓内动静脉压力梯度减小。其过程是:(1)椎间孔处的动静脉交通使动脉血倒流入根髓静脉。(2)根髓静脉内血流方向与正常时相反,故血液反流入冠状静脉丛,使静脉压升高,血液淤滞。(3)髓内血管亦发生类似变化,使组织压升高,自动调节能力进行性下降,局部出现水肿及缺血性变化。

图3. 神经根动脉(RA) 硬脑膜的瘘点(F)根静脉(RV) 硬膜内静脉(V)脊髓(SC)
该病由于散在发病,起病隐袭,病程较长并逐渐加重,所以早期确诊较为困难,许多病人在被确诊和手术前已严重丧失了自主活动的能力。确诊本病的唯一方法是选择性脊髓动脉造影,可清晰地显示病变处的异常血管。

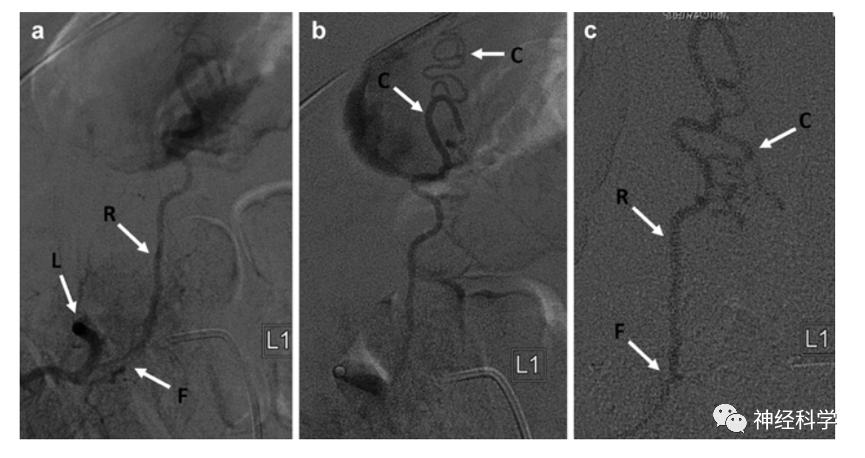
图4. 腰动脉(L)瘘点(F) 根静脉(R) 冠状静脉(C)
SDAVF的诊断标准:(1)年龄>40岁,尤其是男性患者;(2)表现为双下肢的感觉、运动和括约肌功能异常,且症状进行性恶化,体征不断发展;(3)选择性脊髓动脉造影发现硬脊膜附近瘘口及动静脉的异常交通。
由于SDAVF的自然病程是逐渐加重的,神经系统的损害在晚期为不可逆,所以SDAVF应早期手术治疗。疗效的好坏不仅取决于病变的位置,更主要的是取决于所选择的手术时机和手术方式。
王先生进行手术之后,症状很快缓解了。
划重点:
SDAVF常起病隐袭,首发症状可以是肢体无力、麻木或大小便功能障碍。短期内病情较大波动是其特点之一。提高警惕,结合MR及DSA不难诊断,应早进行手术治疗。
参考文献:
[1] Aminoff MJ, Barnard RO, Logue V (1974) The pathophysiology ofspinal vascular malformations. J Neurol Sci 23(2):255–263.
[2] Thron AK (1988) Vascular anatomy of the spinal cord:neuroradiological investigations and clinical syndromes. Springer, Vienna.
[3] Maimon S, Luckman Y, Strauss I. Spinal Dural ArteriovenousFistula: A Review. Adv Tech Stand Neurosurg. 2016;(43):111-37.
