吃粽子时囫囵吞“枣”核,能被消化掉吗?医生做了个实验
端午节即将到来,吃粽子是过节的标配,红枣馅的粽子深受欢迎。但每年因吃粽子而囫囵吞“枣”核的事故却时有发生。万一囫囵吞“枣”核,该怎么做?

01
枣核可以被消化掉吗?
有人认为,枣核会被胃内的消化酶和胃酸消化掉;还有人认为,枣核的植物纤维素会被软化,因而不太可能扎穿肠子。
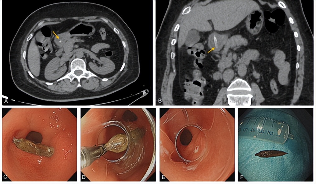
同济医院放射科进行了科学实验,将枣核浸泡在人工胃液、人工肠液,甚至先泡入胃液后再泡入肠液,以模拟其在胃肠道内的过程。

实验证明,无论哪种消化液成分都不能消化掉枣核,也不能将其软化。体外实验还使用CT追踪扫描浸泡后的枣核,浸泡后的枣核仍表现为典型的梭形高密度,均可被CT识别。
02
误吞枣核 非常危险
误吞枣核存在一定的嵌顿和穿孔风险。虽然肠道有一定的润滑及自我保护能力,枣核有可能顺利通过胃肠道。但因枣核体积较大,呈两头尖的梭形,十分坚硬。所以从误吞枣核那一刻起,就可能后患无穷了。

枣核两端尖锐可嵌顿于消化道各个部位,其中食道居多,小肠和胃次之;尖端易划伤消化道,嵌顿后可继发穿孔、梗阻、感染等并发症,甚至引起主动脉食管瘘而失去生命。吞咽的枣核长度越长及既往有腹部手术病史的患者,出现并发症的概率越高。
03
CT检查解决“核”的疑虑
成年人能意识到自己误吞了枣核,但儿童常常不知道是否误吞了枣核,那医生怎么判断和追踪枣核呢?
如果误吞枣核,并感到吞咽不适、胸骨后疼痛,应立即就医,急诊内镜常常可以取出卡在食管内的异物。但吞了枣核一段时间后,枣核可能已经到了肠道内,此时常规胃镜无法发现枣核;如出现肚子痛等不适,CT是能有效发现枣核的无创性检查。
同济医院放射科通过体外实验,证实CT可以发现所有种类的枣核。放射科医生通过对CT图像重建,可以清楚显示枣核的位置,以及判断是否发生穿孔、感染等并发症。

若枣核被发现于肠道内,但患者没有明显的症状;或经医生评估后,患者不适合内镜、手术取出;出现以上情况,患者可以吃些通便润肠的食物,以促进枣核尽早排出。
CT随访可以监测枣核在胃肠道内的移动情况及并发症的情况;复查CT未发现枣核时,则提示枣核已经排出体外。
04
温馨提醒
在享用美食时,一定要细嚼慢咽,避免异物的误吞。除了枣核,误吞鱼刺、鸡鸭骨等都容易嵌顿,引起消化道症状。
帮你问
儿童误吞枣核3天,没有拉出来也没有什么反应,怎么办?
若患儿没有不适,可以继续观察大便;若出现哭闹不适或1周仍未见排出枣核,应行CT检查异物的位置。
误吞枣核,需要多吃韭菜保护肠胃吗?
虽然有人认为韭菜等富含纤维素的食物可以保护肠胃不被异物损伤,但是该观点缺乏证据证实。诊疗中,医生会建议患者吃促排便的食物或者药物导泄。若出现明显的胸骨后疼痛,吞咽痛等不适,不应使用吞饭的方式强行把异物往下带。
枣核已经排出,还要担心在体内运动过程的损伤吗?
虽然枣核可能在移动过程中损伤胃肠道壁,但如果没有出现腹痛、发热不适,一般不需过度担忧。若出现了不适,应及时就医检查。
误吞枣核,能使用海姆立克急救法吗?
海姆立克急救法适用于气道异物梗阻,若发生误吸,表现为剧烈呛咳、呼吸不顺畅等症状时才需要该方法。一般误咽的情况是进入了食道,不使用海姆立克急救法。
如误吞枣核出现不适,应该去哪些科室就诊?
消化道异物的常见的就诊科室包括耳鼻喉科、消化内科、胸外科、胃肠外科、急诊科、儿科和影像科。
根据怀疑异物嵌顿的部位不同,就诊科室不同:口咽部及食管异物常就诊于耳鼻喉科及消化内科,部分患者高度怀疑并发症可能需要于胸外科行手术治疗;若食管未发现异物,且出现腹痛怀疑异物卡压于胃、小肠以及下游的消化道,常就诊于消化内科及胃肠外科。
由于消化道异物可发生于各年龄段人群,且就诊时间可在不同时间段,可能就诊于急诊和儿科。无论就诊于哪个科室,医生都会根据患者的病史症状进行初步判断和检查,如有转诊需要会根据患者的个体情况转诊入其他科室进一步诊治。
来源:华中科技大学同济医院
作者|郝璐雯 放射科 硕士研究生
沈亚琪 放射科 教授、副主任医师
编辑|常宇
策划|蔡敏、蔡雄