脾脏正常CT及常见疾病影像表现

脾肿大:
脾脏弥漫性疾病多表现为脾肿大(enlarged spleen)。脾脏大小个体差异较大,解剖学测量脾脏的平均长10.5cm,宽6.5cm,厚2.5cm,最大径超过15cm者肯定增大。引起脾肿大的病因很多,主要有炎症性、淤血性、增殖性、寄生虫感染、胶原病和浸润性病变等。
诊断要点:
1.症状和体征:
1)部分患者无明显自觉症状。
2)脾肿大病因不同而致临床症状各异。
3)深吸气时,脾脏触诊在肋缘下超过2~3cm。叩诊时,脾浊音区相应扩大。
2.X线平片:脾脏X线测量长径超过15cm,宽径超过8cm可诊断脾肿大。明显增大时可引起左膈升高,胃泡右移,左肾轮廓影向内下方移位。
3.消化道钡餐造影:可显示脾大对胃肠道的压迫、推移征象,结肠脾曲下移,相应的横结肠上缘出现压迫。
4.MRI检查:单纯性脾肿大MRI信号强度均匀。
【CT表现】
CT平扫:显示弥漫性脾肿大的程度、形态、实质密度变化及周围组织和器官的压迫推移征象。
1) 长径超过10cm,短径超过6cm,上下方向长度超过15cm即为脾肿大。
2) 横断面图像上以5个肋单元作为标准,超过者为脾肿大。若肝下缘消失的层面上,脾下缘仍能见到则可认为脾向下增大。
3) 当脾脏密度高于肝脏密度时,提示有肝脏弥漫性病变。
增强扫描:动脉期脾脏呈斑片状不均匀强化,静脉期及平衡期强化密度逐渐均匀。





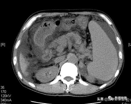
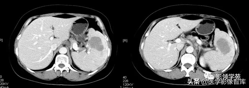
副脾
副脾(accessory spleen)又称额外脾。为先天性异位脾组织,与主脾结构相似,具有一定功能的脾组织。约占尸检10%~30%,多为单发,常位于脾门或沿脾血管分布,也可沿脾脏的悬韧带分布。约有20%的副脾发生在腹部或后腹膜的任何地方。
【诊断要点】
- 症状与体征:通常无临床症状,较大者可于上腹部触及肿块。
- 消化道钡餐造影:位于胃壁或胃周围者,可显示类似胃粘膜下肿瘤征象。
- MRI检查:形态上呈圆形或椭圆形,信号特征与主脾相同,增强扫描,副脾与主脾的强化一致。
- DSA检查:可见脾动脉的小分支进入副脾,与主脾染色一致。
【CT表现】
- CT平扫脾门部小结节,多数直径不超过2.5cm,边缘光滑。偶见位于脾门以外者。
- 增强扫描副脾与主脾强化一致,CT值相同。
- 动态增强扫描:两者的增强与消退之动态变化也完全一致。
- 鉴别诊断:需与腹部肿瘤鉴别,勿把副脾误认为淋巴结肿大或其他肿物。脾摘除后副脾可增大。副脾也可发生脾脏的病变,如淋巴瘤。




多脾综合症
多脾综合征(polysplenia syndrome)为先天性脾脏发育异常伴有多个内脏畸形和心血管畸形的综合征。本病较为罕见。
【诊断要点】
- 多脾:多在2个以上,大小相近,位于双侧腹部或右腹部,脾总重量等于正常脾重量。
- 心血管畸形:如肝段下腔静脉缺如,奇静脉或半奇静脉异常连接并扩张,肝静脉直接汇入右心房,双上腔静脉,双主动脉弓,房间隔缺损,室间隔缺损,单心房及心脏位置异常等。
- 两侧肺分叶异常。
- 内脏异位:可为部分性或完全性内脏转位。
- 其他表现:如胆囊缺如,胆管闭锁等。
【CT表现】
- 多为两个或两个以上的脾脏,呈结节状或球状,其密度和增强扫描强化特征与正常脾脏相同。
- 脾脏异位,可位于右侧腹部。
- 复杂的心血管畸形及心脏位置异常等。
- 肝左右叶反位或对称等大,胆囊缺如等畸形表现。

脾外伤:
脾外伤(trauma of the spleen)占腹部外伤的1/4。因受力机制不同,可为单纯性脾外伤,也可同时合并肝及其他器官和组织损伤。
脾外伤的分型:①脾挫伤。②脾包膜下血肿。③脾实质内出血而无脾脏破裂。④脾破裂。
【诊断要点】
- 明确的左上腹创伤史。
- 脾脏外伤后,可出现左腹部痛,脾脏增大,压痛以及腹膜刺激征象。
- 当伴有脾破裂时,血压下降,血红蛋白急速下降,并有休克等严重症状。
- X线平片:脾脏形态变化,破裂出血时轮廓不清或消失,反射性肠郁张,合并肋骨骨折,胸腹腔积液等征象。
- 腹腔动脉造影:可见对比剂外溢,动脉闭塞,动静脉瘘,假性动脉瘤形成,无血管区和包膜下血肿及脾周围腹腔内血肿可导致脾脏受压、移位征象等。
- B型超声:脾实质内片状或团块状回声增强或强弱不均。当包膜下血肿时,呈梭形或不规则形无回声区或低回声区,脾包膜中断,脾周围积液和腹腔游离积液征象。
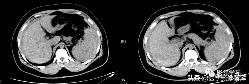
- 脾挫伤:CT可无异常表现。
- 脾包膜下血肿:在脾外周见半月状密度异常区。
- CT平扫:血肿密度与受伤时间有关,新鲜血肿或等同于脾密度,或稍高于脾密度,随时间推移,血肿密度也逐渐降低。
- 增强扫描:血肿不增强,脾实质增强形成密度差异,清晰显示血肿形态和边缘。当血肿较大时,脾可受压、变形。

脾实质内出血而无脾破裂:1)CT平扫:显示脾内不规则高密度区。2)增强扫描:血肿呈相对低密度区,与增强的脾脏实质形成对比。

脾包膜下血肿

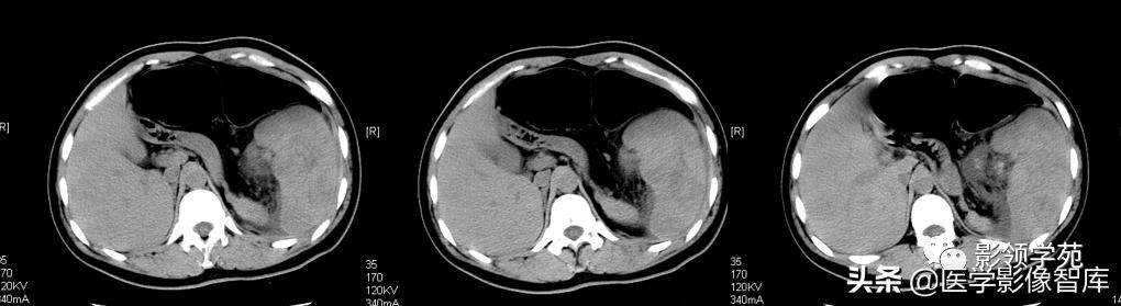
脾破裂:
1) 局部破裂:脾实质内局限性低密度带状影和/或稍高密度区,增强扫描更为清楚,早期血肿境界可不清晰,随着时间延长血肿呈境界清晰的椭圆形低密度区。
2) 完全破裂:脾周、脾曲、腹腔内均可见不规则的血肿存在,此时脾脏轮廓不规则,体积增大,实质内可见有撕裂裂隙贯穿脾脏,呈不规则状低密度带。







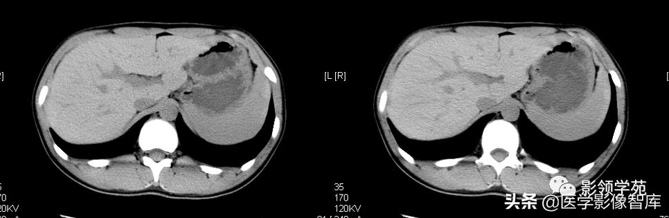
脾梗死
- 脾梗死(infarct of spleen)是脾内的动脉分支梗塞,形成脾脏局部组织的缺血坏死。脾梗死后,其坏死组织被纤维组织取代,因瘢痕收缩,脾边缘出现局限性凹陷,较大梗死病灶中央产生液化形成囊腔。
- 大多数脾梗死无症状,部分患者可出现左上腹疼痛、发热等。
- X线平片:可见左侧膈顶抬高和胸腔积液。
- MRI检查:对脾梗死较敏感,T1WI表现为低信号,T2WI表现为高信号,增强后病灶无强化。
- B型超声:脾实质内楔形低回声区,尖端指向脾门。
【CT表现】
急性期:1)CT平扫:见脾实质内三角形低密度灶,基底位于脾的外缘,尖端常指向脾门,边界清楚或模糊。2)增强扫描:病灶无强化,边界较平扫时更加清楚。
慢性期:1)CT平扫:梗死区密度逐渐增高,脾脏因纤维组织增生和瘢痕收缩而致边缘局部内陷。2)增强扫描:瘢痕组织呈轻微强化的低密度区。



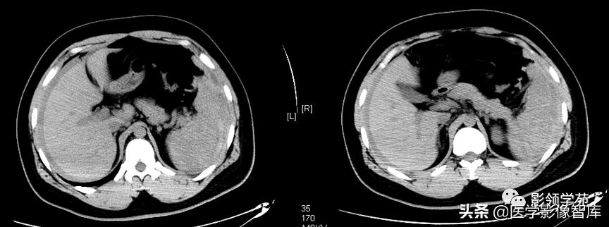
脾脓肿
脾脓肿(spleen abscess)是一种比较少见的感染性病变。发病率在0.14%~0.7%之间,死亡率较高。脾脓肿是败血症脓栓的结果,致病原因分为:①全身感染或脾周感染。②脾外伤后继发感染或脾囊肿继发感染。③免疫机制低下的患者,如HIV阳性。④经导管脾动脉栓塞术后继发脾脓肿等。
【诊断要点】
1.症状:
1)发热:发热前常有寒战,多为弛张热。
2)腹痛:脾区持续性钝痛、胀痛。
3)其他:腹胀、恶心、呕吐、乏力和消瘦。
2.体征:脾大,脾区有压痛和叩击痛。
3.实验室检查:血白细胞计数增高,>10×109/L,中性>0.7。
4.X线检查:腹部立位平片左横膈升高,盘状肺不张和胸膜炎等,若在脾内出现气液平面为特征性表现。
5.B型超声:脾内局限性低回声区,边界不规则。
6. MRI检查:早期可有脾脏肿大,信号轻微异常。当有脓肿壁形成时,T1WI呈低于周围组织的信号区,T2WI呈明显的高信号,且信号均匀。增强后脓肿壁呈环形强化,中央区无强化。
【CT表现】
CT平扫:
1)脾脓肿早期表现为脾弥漫性肿大,密度稍低且均匀。
2)发生液化坏死后,见圆形或椭圆形低密度区,CT值大多在20HU左右,边界不清。
3)少数脓肿内可见小气泡或气液平面为特征性表现。
增强扫描:见脓肿壁明显强化,中心坏死区无强化。当脓肿为多发而又较小时,则常表现为增强后脾内斑点状或粟粒状低密度灶。

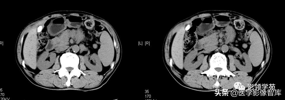
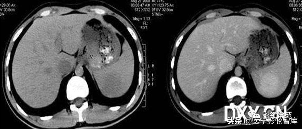
脾血管瘤
脾血管瘤(splenic hemangioma)为脾脏最常见的良性肿瘤。尸检发现率为0.3%~14%,好发年龄为20~60岁,成人以海绵状血管瘤多见,儿童多为毛细血管瘤。男女发病无明显差别,肿瘤生长缓慢,病史长达数年以上。
【诊断要点】
- 瘤体较小者,一般无临床症状,多为体检时偶尔发现,瘤体较大者可有腹胀表现。
- B型超声:超声表现多样,可为花斑状低、等、高回声。
- MRI检查:对血管瘤的显示较CT敏感,T1WI为低信号,T2WI为高信号,重T2WI可显示“灯泡征”,为特征性表现。
- X线平片:可见脾区内斑点状、星芒状钙化。
【CT表现】
1.CT平扫:1)脾内见圆形、类圆形低密度病灶,边界较清楚。2)较大血管瘤时,脾脏体积可增大,瘤体中央可有瘢痕形成,表现为更低密度,当内部有新鲜出血时,可见高密度区。3)病灶大小不等,多为单发,也可多发,可见有斑点状、星芒状钙化灶。
2.增强扫描:1)肿瘤边缘多呈斑片状强化,静脉期和平衡期强化扩大并逐渐向中心充填,延迟后与正常脾脏密度一致。与肝血管瘤呈类似改变。2)当肿瘤中心有血栓形成或瘢痕存在时,中心可有始终不强化区域。

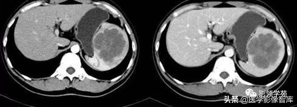
脾淋巴瘤
脾淋巴瘤(lymphoma of the spleen)是脾脏较常见的恶性肿瘤,可分为原发性脾淋巴瘤及全身性淋巴瘤脾浸润两种,后者多见。病理学上分为霍奇金病(HD)和非霍奇金淋巴瘤(NHL)两大类,这两种淋巴瘤均可累及脾脏。CT检查难以区分组织结构。
【诊断要点】
- 脾脏增大,不规则发热,贫血,胃肠道症状等。
- 全身淋巴瘤:腹股沟、腋下或锁骨上区可触及肿大淋巴结。
- 实验室检查:白细胞和血小板减少。
- B型超声:1)弥漫性脾肿大,脾实质呈弥漫均匀中等或低水平回声。2)局限性病变:可分为囊肿型、低回声型、回声增强型和钙化型。
- MRI检查:T1WI呈等信号或等低混合信号,T2WI信号略高于脾。
【CT表现】
1.原发性脾淋巴瘤:1)CT平扫:脾肿大,脾实质内单发或多发性低密度灶,边界不清。2)增强扫描:低密度病灶呈不规则轻微强化,边界清晰。
2.全身性淋巴瘤脾浸润:1)脾肿大,弥漫性脾浸润,呈小结节状低密度灶,密度不均匀,结节大小在1cm以下。2)增强扫描脾实质低密度轻度强化结节。肝脏多同时受累。

脾淋巴管瘤
脾淋巴管瘤(splenic lymphangioma)是一种少见良性淋巴管畸形。多为中青年患者。
病理学分为三种类型:①毛细血管性淋巴管瘤;②海绵性淋巴管瘤;③囊性淋巴管瘤。以囊性淋巴管瘤多见,病变累及多个脏器时称淋巴管瘤病。
【诊断要点】
1.左上腹轻微胀痛,也可无任何症状,常因脾脏增大而进行检查发现。
2.腹部平片:可见脾脏阴影增大,其内无钙化。
3.MRI检查:T1WI呈不均匀低信号,T2WI呈不均匀高信号,其内可见有分隔。
4.B型超声:脾增大,瘤体边界清晰,呈多房性或蜂窝状结构,囊壁菲薄,内无回声,后壁回声显著增强。
【CT表现】
CT平扫:脾脏增大,脾实质内见单发或多发的低密度病灶,边界清晰,病灶内见粗大分隔。
增强扫描:病灶边缘及分隔有轻度强化,中央无明显强化,囊壁显示清晰。
鉴别诊断:脾淋巴管瘤的CT表现类似囊肿,其CT值比囊肿要高,且有粗间隔,增强扫描见边缘和间隔强化,并见囊壁显示,而脾囊肿密度均匀,增强无囊壁显示。





脾转移瘤
脾转移瘤(metastatic tumor of the spleen)占全身转移瘤的2%~4%,多见于中老年,主要由全身各部位恶性肿瘤(如肺癌、乳腺癌等)经血行转移至脾;周围脏器恶性肿瘤(如胃癌、胰腺癌等)直接侵入脾;淋巴管转移较少见。人体免疫机制与脾脏关系密切,发现脾转移的病例则说明免疫机制受损。
【诊断要点】
- 大多数病例有原发恶性肿瘤病史,常伴有消瘦、乏力、发热等。
- 左上腹疼痛,体检可发现脾增大。
- 晚期可有腹水,恶病质等。
- MRI检查:T1WI呈低信号,境界不清,T2WI为不均匀高信号,增强显示不同程度的强化。
【CT表现】
- CT平扫:脾脏单发或多发低密度病灶,边界大多清楚,当病灶相互融合时,边界欠清楚,较大病灶中心可发生坏死液化。
- 增强扫描:见病灶呈不同程度的强化,边界清晰。部分病例可见腹膜和肝脏转移灶。




作者:郭臣(兖州人民医院影像科)
来源:影领学苑