千亿槟榔产业“急刹车”! 槟榔的咀嚼快感,如何断送你的口腔?
槟榔的起源可追溯至久远的时代。在南太平洋的岛屿上,居民们早早就将槟榔作为日常嚼食的果实,视其具有独特的功效。
而后,槟榔传入中国,在海南、湖南等地落地生根。在海南,槟榔树遍布各地,构成了独特的地域景观。

当地民众不仅将其当作食物,更视之为文化的重要象征。而湖南地区,槟榔也逐渐融入当地文化,成为人们日常生活中的常见消遣。现如今,槟榔市场规模持续扩张。在中国南方的部分区域,特别是海南和湖南,槟榔市场呈现出一片繁荣之象。
20至40岁的成年人是槟榔消费的主力军,仅湖南省的槟榔消费者数量就将近千万之多。槟榔的消费群体涵盖了各个阶层,从普通劳动者到白领精英,都对其有所青睐。

由此,槟榔市场构建起了包含种植、加工与销售的完整产业链。海南作为国内最大的槟榔种植基地,槟榔种植为当地农户创造了丰厚的经济收益。
随着种植面积的不断扩大,槟榔的产量也逐年递增。湖南则凭借先进的槟榔加工产业,成为国内槟榔产品的主要供应地。

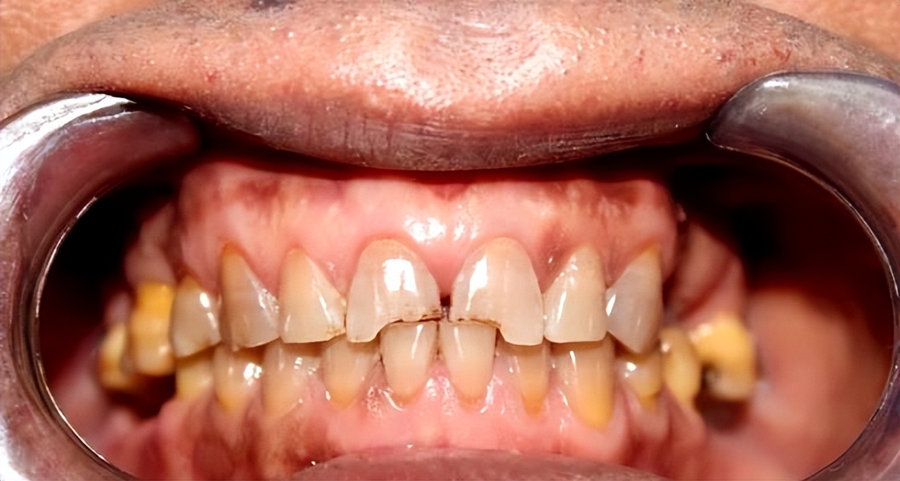
然而,槟榔在创造经济效益的同时,也给人们的健康带来了严重威胁。槟榔中所含的槟榔碱和单宁等成分,对人体健康存在诸多潜在危害。
槟榔碱作为一种强效生物碱,初尝时或许会带来些许甜味,但它会对口腔黏膜产生刺激,引发细胞病变。长期咀嚼槟榔,口腔组织在持续的刺激下,极易诱发口腔黏膜纤维化,甚至可能恶化为口腔癌。

单宁则会导致牙齿变色,损伤口腔黏膜,进一步恶化口腔环境。在我国部分槟榔消费大省,口腔癌的发病率一直居高不下。
医院的病例资料表明,超过70%的口腔癌患者有长期嚼槟榔的习惯。许多年轻患者早早地被确诊为癌症,他们不仅要承受病痛的折磨,有些人还不得不面对失去舌头的残酷现实。

早在2012年,世界卫生组织就已将槟榔列为一级致癌物,明确其与口腔癌、咽喉癌等多种癌症存在直接关联。多项医学研究也证实,长期嚼槟榔不仅会引发口腔癌,还可能诱发消化系统疾病、心血管疾病等一系列健康问题。槟榔之所以广受欢迎,原因是多方面的。在一些地方,槟榔不仅仅是个人的喜好,更是一种文化的象征。
在海南、湖南等地,槟榔已成为社交礼仪的重要组成部分。在聚会、婚庆、节庆等场合,槟榔总是必不可少的存在。

此外,槟榔碱对中枢神经系统的刺激,能让人们在咀嚼时产生提神的感觉,这种“上头”的体验使得许多消费者一旦开始咀嚼槟榔,就难以停止。从行为心理学的角度来看,这种依赖不仅是生理上的,更是心理上的。
消费者因槟榔带来的短暂愉悦而形成强烈的依赖感,这也是许多人明知嚼槟榔的危害,却难以真正戒除的重要原因。

当前,槟榔市场正承受着前所未有的监管压力。随着公众健康意识的不断增强,槟榔与口腔癌之间的关联逐渐被大众所熟知,市场监管措施也日趋严格。
政府颁布了一系列政策,对槟榔的广告宣传、销售渠道等方面进行了严格限制。曾经在各大媒体上频繁出现的槟榔广告已逐渐销声匿迹,其销售范围也受到了一定的约束。

这些监管举措的实施,给槟榔市场带来了重大影响。一些依赖广告宣传的槟榔品牌,其市场份额开始下滑;而一些规模较小的槟榔企业,由于难以适应严格的监管要求,面临着倒闭的危机。
不过,监管的强化并非一帆风顺,一些问题也随之显现。如何对槟榔的地下销售市场进行有效监管,如何防止槟榔企业通过其他途径进行变相宣传等,这些都是监管部门需要着力解决的难题。

在如此严格的监管环境下,槟榔产业的未来发展方向备受瞩目。一些企业开始加大研发投入,力求开发出更为健康、风险较低的槟榔产品。
例如,努力研发能够去除或减少有害成分的槟榔制品,以满足消费者对健康的追求。同时,一些企业开始拓展多元化业务,降低对槟榔主业的依赖程度。

他们将目光转向其他领域,如食品加工、保健品等,试图通过多元化经营来分散风险。此外,还有一些企业将发展的视野投向国际市场。
尽管不同国家对槟榔的监管政策存在差异,但一些企业依然期望能够在国际市场中寻得新的发展机遇。

总之,槟榔产业在发展过程中面临着众多挑战与机遇。在追求经济利益的过程中,必须高度重视健康问题,努力探寻健康与经济的平衡之道,推动槟榔产业沿着可持续的方向发展。
槟榔中含有的有害物质对人们的健康构成了严重威胁,长期嚼食槟榔容易导致口腔黏膜纤维化,增加患口腔癌的风险,许多槟榔消费者因此饱受病痛折磨,生活质量大幅下降。然而,槟榔产业在一些地区已成为重要的经济支柱,为当地带来了可观的经济效益,解决了大量人员的就业问题。

这种矛盾的局面使得如何在保障人们健康的前提下,实现槟榔产业的可持续发展成为亟待解决的关键问题。随着槟榔健康问题的日益突出,市场监管日益严格,这对槟榔市场产生了深远影响,也给监管部门带来了新的考验。
在这样的背景下,槟榔产业需要积极探索新的发展路径,以适应市场的变化和需求。