搜索
消息
发布
登录
205
评论
收藏
分享
转发到头条
复制链接
微信
微信扫码分享
新浪微博
QQ空间
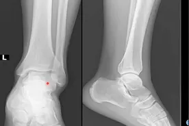
踝关节必备知识,七块跗骨的骨性标志与定位
原创
2022-05-16 09:30
·
GT脊椎矫正
视频加载中...
举报
猜你喜欢
03:02
影像基础知识:踝关节骨解剖讲解,简单易懂,3分钟学会
01:31
【踝关节解剖】骨骼+软骨+韧带
相关推荐
脚髁不读jiǎo huái,那正确读音是?脚髁与脚踝有什么区别?
髁字指的是我们身体中的一个关节部位,位于骨头的末端,是... 脚髁和脚踝有什么区别?髁字怎么读,是什么意思?髁字的来...
关于崴脚你应该知道的踝关节
身体重塑一百讲23.脚踝脚踝是我们从下向上数第一个灵活... 从解剖上看是由三块骨头组成了这个关节。距骨、胫骨、腓...
崴脚,只有0和无数次?!该怎么缓解?
这种玩具常常是用羊的距骨做的。骨头和骨头之间,还有韧带相连。例如,脚踝外侧有距腓前韧带(ATFL)和距腓后韧带(P...
【医聊】哎呀,又崴脚了!踝关节求关注~
我是关乎人类行走运动的重要枢纽及承重关节——踝关节,... 我受伤是临床上最常见的骨科急症之一,约占全身骨骼肌肉...
急救医生科普踝关节骨折那些事
踝关节骨折踝关节骨折指踝关节周围骨骼(胫骨下端、腓骨... 使脚踝高于心脏位置,促进血液回流,缓解肿胀。4、 快速送...
★踝关节解剖收藏图谱MR(活到老,学到老!)普通人也能看懂!
踝关节,由胫骨、腓骨下端的关节面与距骨滑车构成,故又名距骨小腿关节。 踝关节容易发生扭伤,其中以内翻损伤最多...
品鉴|当和田玉“偶遇”羊髀石
它是羊后腿踝关节连接胫骨和脚掌间的滑车关节,学名“距骨”。和田玉丰富的色系,让曾经风靡的童年玩具呈现崭新面...
伤不起的踝关节痛——跟距骨桥
但是如果它们之间有了骨性连接,就会增大跟骨距骨关节之... 同时极易发生踝关节的扭伤,而且也是造成僵直扁平足的主...
全身最硬核的东西——骨骼
颞骨前方是蝶骨。最后的颅骨,有点难以可视化,是筛骨,它更靠近中线,鼻子后方,低于额骨。面部骨骼形成面部结构。形...
踝关节MRI解剖及7种常见损伤类型
踝关节(anklejoint),由胫、腓骨下端的关节面与距骨滑车... 由软骨桥相连接。病因:距骨三角骨急性骨折或慢性应力性...
GT脊椎矫正
脊柱健康管理,公众号:GT脊椎矫正
关注
TA的热门作品
Loading...
查看更多
头条热榜
换一换
扫码下载今日头条APP
看最新、最热资讯内容
精彩视频
换一换
点击回到头条首页
首页
反馈
下载
扫码下载今日头条
顶部