征兵体检,这些注意事项对你至关重要
少年
听说你想当兵
来,检查一下身体先

一年一度的征兵工作正在火热开展
想要参军入伍
要经过一系列严格的体检步骤

这其中
淘汰率最高的一项便是军检

讲真
对很多人来说
军检大概是他们这辈子最细致的一次体检
当然
更是最难忘的

会在你身上划几道划痕
看你是否有人工荨麻疹


接下来我们进入正题
聊一聊关于征兵体检
你最关心的那些事

最近后台经常收到很多留言咨询
什么时候体检?
体检都检查什么?
体检有哪些注意事项?
……

好像大家对征兵都有很多的疑问待解答
今天就大家关心的问题整合一篇
“可能是最全面的参军体检攻略”
拿好不谢!
按照年度征兵工作计划
省区市将在8月份全面开展体检工作

迫在眉眼!
请各位有志青年
一定要仔细阅读哦!
1、角膜塑形镜可以通过吗?

《应征公民体格检查标准》第39条:角膜、巩膜、虹膜睫状体疾病,瞳孔变形、运动障碍,不合格。
2、扁平足能入伍吗?足弓不够弯曲会被刷掉吗?

《应征公民体格检查标准》第8条:手指、足趾残缺或畸形,足底弓完全消失的扁平足,重度皲裂症,不合格。
3、身上有文身,洗掉以后还能参军吗?
面颈部文身,着军队制式体能训练服其他裸露部位长径超过3cm的文身,其他部位长径超过10cm的文身,男性文眉、文眼线、文唇,女性文唇,不合格。
至于洗掉后的文身算做瘢痕,按瘢痕的尺寸算:面颈部长径超过3cm或影响功能的瘢痕,其他部位影响功能的瘢痕,不合格。
4、眼睛做矫正手术可以吗?

右眼裸眼视力低于4.6,左眼裸眼视力低于4.5 ,不合格。
任何一眼裸眼视力低于4.8,需进行矫正视力检查,任何一眼矫正视力低于4.8或矫正度数超过600度,不合格。
屈光不正经准分子激光手术后半年以上,无并发症,任何一眼裸眼视力达到4.8,眼底检查正常,除潜艇人员、潜水员、空降兵外合格。
其中:
① 坦克乘员、水面舰艇人员、潜艇人员、空军专机女乘务员、中央警卫团条件兵、公安警卫部队条件兵、北京卫戍区仪仗队队员,任何一眼裸眼视力 不低于4.8 ;
② 潜水员、空降兵、特种作战部队条件兵任何一眼裸眼视力 不低于5.0 。
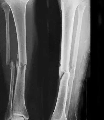
5、小腿踢球时骨折过,还能当兵吗?

四肢单纯性骨折,治愈1年后,X线片显示骨折线消失,复位良好, 无功能障碍及后遗症(空降兵除外),合格。
6 、做过阑尾或疝气手术可以吗
阑尾炎手术后半年以上, 无后遗症 ,合格。腹股沟疝、股疝手术后1年以上,无后遗症,合格。
7、有痔疮,影响当兵吗?
环状痔,不合格。2个以下且长径均在 0.8cm 以下的混合痔。合格。
8、有腋臭,可以当兵吗?

重度腋臭,不合格。轻度腋臭,坦克乘员、水面舰艇人员、潜艇人员和潜水员不合格。
9、脂肪肝影响当兵吗?
轻、中度脂肪肝且肝功能正常 ,合格。
10、头癣、毛囊炎影响当兵吗?
头癣,泛发性体癣,疥疮,慢性泛发性湿疹,慢性荨麻疹,泛发性神经性皮炎,银屑病,面颈部长径超过1cm的血管痣、色素痣、胎痣和白癜风,其他传染性或难以治愈的皮肤病,不合格。多发性毛囊炎,皮肤对刺激物过敏或有接触性皮炎史,手足部位近3年连续发生冻疮,潜艇人员、潜水员不合格。
应征青年要小心,体检前这些事别乱做!
01
应征青年要小心,火锅别乱吃
三伏天气,不少人都表示多出汗排毒是个不错的选择,如果能约几个好友吃顿火锅发发汗,那就再好不过了。

然而,对于一心想参军当兵的同学来说,体检前火锅一定要少吃!
太烫的食物会损伤黏膜,而火锅浓汤的温度很易烫伤口腔、舌部、食道以及胃的黏膜。一些本来就有复发性口疮的人,吃了火锅后容易上火,其口疮发生机会因此又多出好几倍,或者原有的口腔黏膜炎症出现加重症状。
应征青年们,火锅虽美味,但要避开体检时段哦!
02
应征青年要小心,烧烤串串别乱吃
每到入夏,街边炙烤的炭烟就开始弥漫,“撸串”仿佛成了夏日里必不可少的“标配”。然而暑期高温、食物若保存不当很容易变质,严重的甚至会发霉、长虫、发酸!但是一旦经过油炸火烤的“包装”后,你很难分辨得清楚质量的好坏!

倘若体检前一段时间贪口,不甚掉坑、上吐下泻,那估计是要和当兵这条路拜拜了。
《应征公民体格检查标准》第二章内科第二十二条规定:严重慢性胃、肠疾病,肝脏、胆囊、脾脏、胰腺疾病,内脏下垂,腹部包块,不合格。
03
应征青年要小心,海鲜别乱吃
携着三五好友,嚼着香辣海鲜……应征青年们你们要当心了!
一般水产中都会存在许多寄生虫,误食未熟或半熟的这类食物容易发生一系列寄生虫感染。扇贝、织纹螺等海水贝类由于摄食赤潮中有毒藻类或与有毒藻类共生而在其体内产生并蓄积成“贝类毒素”,要慎食海水贝类食物。

路边摊、大排档、手机里面的外卖店,海鲜中毒、上吐下泻、高烧不退、急慢性肠胃炎......这些听起来好像离自己挺远的事情,一旦发生在就快参加体检的你身上,军旅梦基本要告吹了。
04
应征青年要小心,生冷冰镇食物别乱吃
吹着冷空调,吃着冰镇西瓜,可以说再爽不过了。然而准备参检的应征青年们,夏季猛吃生冷冰镇食物是很痛快,但对身体的危害也是相当“痛快”!

冷饮冷食最容易引发的疾病就是急慢性肠胃炎,恶心呕吐、头发热冒冷汗、腹痛打冷战等等,若不及时处理加重病情,会导致休克甚至死亡!
而除了这些生冷食物外,放在冰箱里的剩饭剩菜同样要谨慎食用,一不小心就可能食物中毒,因为即使是冷藏的食物,它们携带的细菌、真菌也会继续繁殖,隔夜的食物最好别吃!
05
应征青年要小心,药物别乱吃
看完上面几个不让吃的,有同学就问了:万一我吃出病来,赶紧吃点药不就行了?
但古人云:“是药三分毒”,不是毒肾脏,就是毒肝脏。
况且像止咳药水、快克、白加黑、康必得、咳特灵、甘草片、新康泰克等治感冒或平喘止咳的药物有的含有吗啡、可待因,等药物完全在体内代谢完差不多也要一周时间!而像平时不少人会吃的头孢类抗生素,因药物成分不同在体内代谢过程也有长有短,如果体检前一周还在服用,到体检时说不定就在血液、尿液中查到药物残留成分,影响结果准确性。

这里重点提醒:
感冒药、消炎药及抗生素类药用前一定要咨询医生!切莫胡乱吃几片药凑合着对付下去。当你体检前这段时间需要用药,记住一定得去看医生并告知你要参加征兵体检,咨询用药,别乱吃!
9个体检前的注意事项
1、在晚上十点前上床休息,避免熬夜,保证充足、高质量的睡眠。
2、饮食应清淡、均衡、不吃过于油腻的食物,少吃辛辣食物。可吃些粗粮、水果、蔬菜等。
3、不喝酒、少抽烟(最好戒掉),多喝水、勤排尿。
4、体检前一天要洗澡。
5、上午体检者禁食早餐,头天晚餐宜清淡,肝功能检查应空腹状态下采血。
6、体检期间患病(感冒、发烧等常见病)应事先和医生说明情况,便于根据体检项目调整复检时间。
7、要做完所有体检项目,不要擅自离开体检站。
8、应着舒适内衣裤、干净鞋袜,外衣易脱穿,不要佩戴金属饰物、挂件等。
9、在体检前慎用以下几类药物:镇痛药、止咳药、止泻药、感冒药及含可待因、麻黄碱等成分的药品,可能会对检测结果造成干扰甚至被误诊。
为了确保能顺利通过体检
所以接下来
一定要管住口、管住手!

嘴巴过了瘾、身体遭了罪、体检过不了、回家两行泪!
应征青年们,请忌嘴!
参军报国,青春无悔
我在军营等着你!

(转载请注明来源:中国军网微信;资料参考:中国民兵、中国军网 等)

中国军网微信(zgjw_81)出品
整理:柴潇
编辑:柴潇
编审:张华婧
投稿邮箱:zgjw_81@126.com
转载请注明来源中国军网微信