洗牙到底多久洗一次比较好,它会导致牙缝变大吗?听听牙医怎么说
我们医生经常建议朋友们保持定期洗牙的习惯,这样对我们的口腔卫生比较好。但是最近有患者问我,是不是洗牙会导致牙齿缝隙变大,牙齿敏感甚至松动脱落情况出现。其实听见这个问题的时候作为牙医我挺吃惊的,所以今天特意写一篇关于洗牙的文章来为大家介绍一下洗牙,也解释一下上面的问题。

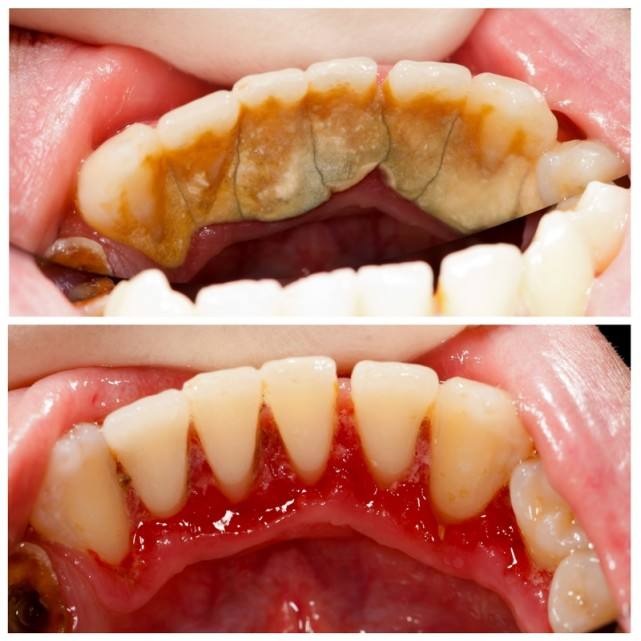
洗牙是我们最常使用的牙齿仪器清洁的手段,需要特别的提醒大家,现在市面上流行的水牙线产品(冲牙器)是不能够代替医学洗牙的。现在最常用的洗牙方式就是利用超声波的振动,将牙齿附着的牙菌斑、牙结石等尽数去除。因为毕竟声波振动和水流冲洗对牙齿确实存在一定的刺激性,所以洗牙过程和洗牙之后的感觉,不同的人甚至可以说差异非常大。这就导致了上面患者问我的问题出现。

关于洗牙之后会出现牙缝变大和牙齿松动的情况绝大多数是因为人们的一些错觉。
牙齿的缝隙被牙结石填满之后自然会叫人觉得几乎没有,但是当我们其祛除之后,原本健康的牙齿之间的缝隙可能就会看的比较清楚,这就会叫人产生一种牙齿的牙缝变大的错觉。牙缝一直都是那么大,只是因为不健康的牙结石填充物被去掉了,所以牙缝显得很明显。所以牙缝变大的"锅",洗牙不能背。

洗牙之后牙齿变得很敏感?
一般来说洗牙之后(尤其是第一次洗牙之后),因为声波振动的原因,牙齿会有几天的时间比较敏感。这是因为我们清除掉了牙齿表面的"脏东西",牙齿本身接触冷热的环境一下变得通透了起来,所以会变得有点敏感。这种情况会随着时间很快消失。
但是如果敏感持续性存在而且比较严重的话,那么就必须要去医院检查了,大概率就是龋齿已经触及牙神经的情况。而这个情况本身与洗牙没有关联,只是洗牙将问题暴露了出来,反而能叫患者及早治疗。


洗牙之后牙齿松动?
首先靠牙结石稳固的牙齿本身就不是真正的稳固,去除掉牙结石之后牙齿的松动感有两个原因组成。
第一个原因,人们对于牙齿敏感(也就是觉得牙齿很软很无力)的错觉,会叫人觉得牙齿好像松了,实际上并没有。这种情况会很快消失。
另一种就是牙齿本身就不够健康已经出现了松动的情况,这和洗牙也没有关联性。

实际上洗牙是比较安全的口腔清洁方式,只是针对口腔的环境进行改善和排查。一般情况下我们也不建议大家频繁洗牙,一来有经济压力,二来对于口腔条件来说也没有必要。所以通常一年洗1-2次牙就可以了,如果能养成这样的习惯其实是非常好的。因为洗牙不仅仅能将牙齿卫生进行改善,它还能及早的发现牙齿存在的问题。

当然了,洗牙毕竟也属于牙医的范畴,虽然比起常规治疗没有什么难度,但是还是建议大家选择正规单位。同时在洗牙之后差不多2周左右的时间里面注意牙齿使用。
- 第1, 对过冷过热的食物谨慎食用,避免牙齿不适。
- 第2, 对颜色很深,染色效果很好的食物(红心火龙果、咖啡、红酒等)谨慎食用,防止色素大量沉积。
- 第3, 保持口腔卫生习惯,注意个人生活习惯。

其实很多医生都会说,疾病的预防和治疗一样重要。洗牙就是口腔疾病很好的预防和发现手段之一。针对网络上一些比较浮夸的说法,建议大家还是不要轻易相信。毕竟现在我们身边就有医院和医生,为什么要舍近求远呢?
