放大百倍后,我的皮肤还健康吗?走进皮肤镜下的神奇世界
来源:浙大二院
2000万柔光双摄,照亮你的美,这一刻,更清晰……
在越来越高清的手机镜头下,一个人的皮肤状态清晰可见,是细腻还是干燥,是健康抑或炎症,皮肤问题都展露无疑。
那你好不好奇,50倍、100倍、500倍放大镜、显微镜下的皮肤又是怎样一个世界呢?
奇妙的毛发世界
你是我的眼

皮肤毛囊在组织免疫荧光下的表现(小鼠)
毛球(毛囊底部)是毛发的眼毛发从中长出,在此汲取养分。
你是我的眼,你说黑我就黑,你说白我就白
休止符

皮肤毛囊休止期在组织免疫荧光下的表现(小鼠)
毛囊进入休止期,“毛眼”“闭”上了,毛毛也就不长了,下一步就是,辛酸的脱发……
荒蛮之地

一位斑秃患者的头皮皮肤镜,其中可见断发、黑点征、黄点征
“大漠孤烟直,长河落日圆”视野所及,有些许荒凉……
春风吹又生

一位脂溢性脱发患者的前额发际线,视野中,大部分毛发变细。发际线保卫战已兵临城下……
毛塘月色

这是一位毛发扁平苔藓患者,毛囊开口的毛周管型,像月色下的毛塘泛起的阵阵涟漪。
痣的善与恶
蜂巢

皮肤镜下,一颗色素痣的色素网像一个精致的蜂巢,色素痣是由痣细胞组成的良性新生物是“善良”的痣,愿它永不恶变,愿它永如蜜糖。
黑化的蜂王

这是一颗面部“黑痣”的皮肤镜下照片,皮损中,不规则的球和黑点,像“黑化”的“蜂巢” ,预示着这颗痣的不寻常——疑似恶性黑色素瘤,彼之蜜糖,吾之砒霜。
阡陌交通

皮肤镜下树枝状的血管扩张,是皮肤基底细胞癌的典型表现,四通八达的血路,蕴含着深深危机。
住在皮肤里的真菌
鱼

一位患者的皮肤鳞屑真菌镜检,显微镜下,片片鳞屑像一条游动的鱼,微观世界里,小到一片鳞屑,都有它独特的形状。
素履之往

荧光镜检下的真菌菌丝,像一条孤单蠕动的草履虫,菌心所向 素履之往,不知它将去向何方,但它着实带来瘙痒。
皮肤的异形世界
渔网

一位天疱疮患者的皮肤免疫荧光,表皮棘细胞间的荧光沉积物形成了一张网。
石榴派对

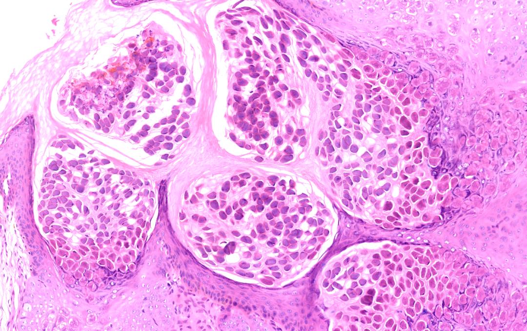
一位病毒性皮肤病(传染性软疣)的皮肤组织病理照,多发的软疣小体像石榴籽一样紧紧抱在一起。我们的身体是团结的,只有“不讲武德”的病毒,通过抱团来入侵与散播。
爆发的火山

这是一位角化棘皮瘤的患者,病理照片中,皮肤的角栓就像爆发的火山岩浆,皮肤的角质本是安静的存在,当它们喷涌而出,皮肤疾病也汹涌而来。
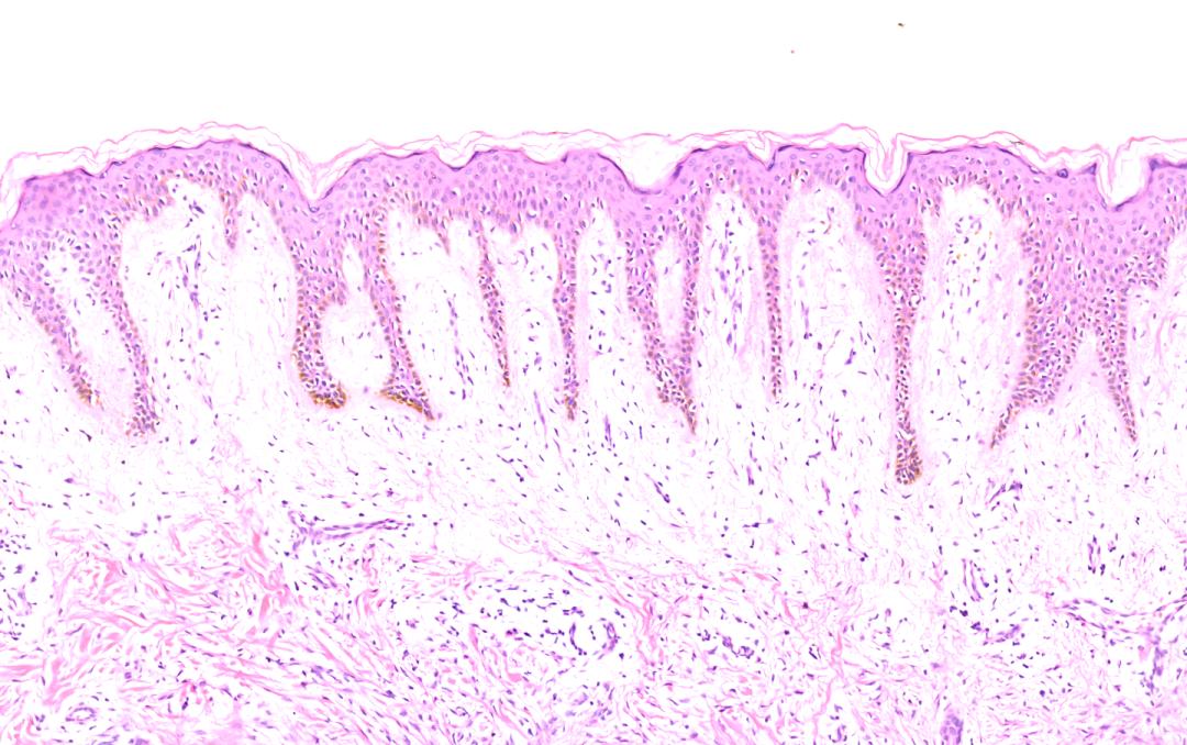
芭蕾舞会

一位皮肤纤维瘤患者的皮肤组织病理镜照片,表皮的增生像脚尖点地的芭蕾舞者们,在皮肤上,翩翩起舞。
见微知著的皮肤镜
皮肤镜又称皮表透光显微镜,是用来观察皮肤色素性疾病的重要仪器。它使用简便、非侵入性,并且诊断率很高,最新研究显示,皮肤镜对恶性黑色素瘤诊断的准确性超过90%。