在日本,一名36岁女子在食用三文鱼生后,出现严重的胸痛、腹痛,并出现恶心、呕吐的病征。医生及后发现,病人体内多处都出现了海兽胃线虫(Anisakias)幼虫,可见幼虫正穿过体内器官的黏膜。医生最终用内窥镜钳出11条幼虫,病人才获治愈。
广东某医院取出一条长约8厘米的裂头蚴寄生虫,患者即将出院。怀孕后三四个月开始出现抽搐,之后肢体反复出现抽搐、麻木等症状,去了全国各地多家医院,历时一年多,总算查出病因竟是颅内长了寄生虫。近日,广东某医院通过开颅手术为患者李宇(化名)成功取出一条长约8厘米的裂头蚴寄生虫。
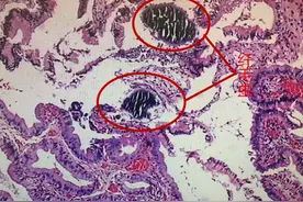
日前,一名网友在论坛发帖称,买回家的银鳕鱼里发现长约三四厘米的寄生虫,经专家辨认为异尖线虫。帖子中称,国际上一些研究数据显示,三文鱼、鲑鱼、鲱鱼等海鱼感染寄生虫的比例为80%—85%。也就是说,10条三文鱼里,就有8条可能被寄生虫感染!帖子一出,论坛立即炸开了锅。
首先,在说三文鱼之前,我们先来科普一下食源性寄生虫病:食源性寄生虫病,就是因为吃了生鲜或者是没有彻底加热的含有寄生虫虫卵或幼虫,以及被其污染的食物而感染的一类疾病的统称,主要分为鱼源性、肉源性、淡水甲壳动物源性、螺源性和植物源性五大类。
女友:我们去吃日本料理吧服务员:我们的刺身保证新鲜卫生妈:不准吃刺身!有寄生虫!你:·········“平平无奇”刺身拼妈妈可以给你列举大量“某市民因常吃刺身感染寄生虫”“某市民体内取出30厘米长寄生虫疑因生食感染”之类的新闻;女友问你全世界尤其是日本咋吃了上千年都不怕?
(本文为成长季原创,如需转载,请标明出处。)肉质肥厚,鲜美的三文鱼,它不仅仅是一个美味的食材,更是一种众所周知的健康食品。【科普一下】三文鱼含有丰富的不饱和脂肪酸,能有效降低血脂和胆固醇,防治心血管疾病。
父母志这里是家庭教育与自我提升的补给站,美好家庭的打造地,万千爸妈学习、思考、放松的后花园。45篇原创内容公众号作者 | 鲍秀兰专家团队来源 | 儿科医生鲍秀兰(ID:xiehebaoxiulan)对于吃货爹妈来说,平时有好吃的东西一定要给娃尝两口,不能让娃的童年有缺憾。
有一些人喜欢生吃动物来“治病”或者“保健”。“养生教母”马悦凌的“生泥鳅疗法”把一大批人吃得进了医院,也并没有让人们从根本上去思考这些“另类疗法”的风险与好处,只是简单地认为受害者运气不好,碰上了“不好的泥鳅”。为了美味或者虚幻的“保健”,生吃青蛙、生吃蛇胆、生喝蛇血的大有人在。