来源:新闻晨报 近日,“点读机女孩”@高君雨 发视频称患上罕见脑瘤,随后以父母口吻更新数条手术过程视频。事件引发持续关注,有网友质疑高君雨最近发布的视频为旧库存视频。刚刚,高君雨母亲回应,称是签约公司运营出了问题。
“快看这是谁又来看你了呀?”11月的一个下午,在东南大学附属中大医院放射治疗病区病房里,放射治疗科邓雨霞副主任医师正带着来院复查的患者团团(化名)向博爱之家基金会的志愿者打招呼,今年14岁的团团虽然内向腼腆,但是很礼貌地和来看望她的志愿者阿姨点头致谢。
脑瘤检测良性!“点读机女孩”分享患病后最新消息“小雨现在做完手术必须住进ICU观察,后面的情况会跟大家说。”3月3日18:32,高君雨的微博账号更新了一条视频,向大家分享她的最新情况。高君雨是广州人,被大家亲切地称为“点读机女孩”,因十几年前一条点读机的广告而被大众所熟知。
3月2日,“点读机女孩”高君雨发视频报平安,称手术进行了12个小时,从早上7点到晚上7点,好在手术很成功,“大家不用担心”。视频中,高君雨躺在床上,由医务人员推出手术室,她的意识还有些模糊,但仍对着镜头微笑。电梯里,高君雨的妈妈轻声唤她的名字,她微微眨动眼睛。
不久前,暨南大学附属第一医院(下称“暨大附一院”)迎来一位特殊的患者。12岁的李玲(化名)患有脑肿瘤,在异地接受外科手术治疗后,陷入长期昏迷。经亲友推荐,家属将孩子送到暨大附一院,经过康复团队的精心治疗,李玲奇迹般地苏醒了过来,迎来康复的曙光。
就读于常州某学校的学生小顾(化姓)近期开始出现讲话声音不够响亮,喝水呛咳,后来出现了走路不稳、反复跌倒,甚至发生了多次晕厥,她才意识到生病了。于是她到当地医院就医,医生告诉她颅内长了肿瘤,而且非常凶险。着急的她到处打听,有朋友推荐她去上海、南京、苏州等外地医院手术治疗。
近日,河北廊坊一对父母带患脑瘤的女儿去影院看《哪吒2》,女孩因为双目失明,只能通过“听”感受电影里的故事。影院工作人员十分暖心,还送来热饮。19日,当事人韦女士告诉潇湘晨报记者,前段时间因为女儿的康复情况还可以,2月14日那天,他们夫妻俩带孩子廊坊市一家影院看了《哪吒2》。
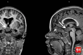
女孩身体逐渐恢复,能够下地行走,正常交流,并开始接受康复治疗。 复旦大学附属华山医院供图中新网上海3月14日电 (陈静 刘燕)一位花季女孩小虹(化名)的脑内长了巨大的畸胎瘤,压迫下丘脑和脑干这两个生命中枢。
极目新闻记者 廖仕祺通讯员 李林牧 姜婵媛6月29日上午,从武汉市普仁医院神经外科一病区的病房里传出阵阵柔和的吉他声,接受完脑瘤手术恢复情况良好的花季少女婷婷(化名)与妹妹莉莉(化名)并肩坐在病床旁,双双拨动心爱的吉他,用悠扬的旋律表达对医护人员的感谢之情。