近日,一个令人揪心的消息在网络上传播开来:年仅5岁的贵州小女孩涵涵,在与病魔抗争了三年多后,不幸离世。这个小女孩的命运,让人唏嘘不已。小涵涵的短暂一生涵涵来自贵州榕江,一岁多时就开始生病,病情反复,让这个家庭承受了巨大的经济和心理压力。
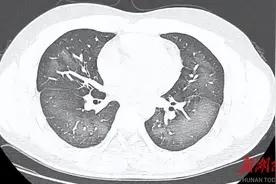
来源:杭州日报 夏天出门很多人都会拿着防晒喷雾从上到下一通“喷喷喷”紧急提醒:别对着脸这次又有人中招了妈妈看着7岁女儿的胸片报告后悔都来不及……防晒喷雾对脸喷,7岁女孩不到一天确诊急性过敏性肺炎,已接近“白肺”几天前,趁着暑期的“尾巴”,7岁小女孩涵涵跟着家人来杭州游玩。
来源:宁波晚报 蟹肉肥美、鲜味十足,每年这个时候,梭子蟹成为甬城市民餐桌上必不可少的一道美食。可8岁小女孩涵涵却因为吃螃蟹过敏,导致全身发红、心跳加快、呼吸困难,幸亏送医及时才无大碍。说起这,涵涵妈妈还后怕不已。
这个国庆假期,当其他人享受着美好的假日时,杨仁登却一步不离地在医院陪伴着他的女儿。10月5日上午,在湖南省儿童医院血液内科,杨仁登整理女儿杨义涵随身携带的物品和住院材料,办理了出院手续,又回到了浏阳市小河乡。“感谢大家的支持和帮助,我还是不甘心。
夏天出门,很多人都会拿着防晒喷雾从上到下一通“喷喷喷”。紧急提醒:别对着脸!这次又有人中招了,妈妈看着7岁女儿的胸片报告,后悔都来不及……防晒喷雾对脸喷,7岁女孩不到一天确诊急性过敏性肺炎,已接近“白肺”几天前,趁着暑期的“尾巴”,7岁小女孩涵涵跟着家人来杭州游玩。
来源:【浙江教育报】虽说“三伏天”已过但高温给浙江人民带来的冲击还远远没有结束烈日当空很多人会使用防晒喷雾甚至对着脸一通“喷喷喷”不仅具有防晒功能还能暂时收获一抹清凉但这其中存在巨大的安全隐患千万别对着脸喷又有人中招了!
趁着暑期的“尾巴”,几天前,7岁小姑娘涵涵跟着家人去杭州游玩。户外艳阳高照,涵涵出门前拿着妈妈的防晒喷雾,对着自己面部喷了又喷。防晒喷雾冰冰凉凉,喷完后,涵涵咳嗽了一两声。资料图出门玩耍没多少时间,涵涵的咳嗽一声连着一声,越来越剧烈,甚至连早饭也咳吐了。
长沙晚报掌上长沙12月28日讯(全媒体记者 徐媛 通讯员 李雅雯 龚静芸)家住龙山县的6岁小女孩涵涵(化名)自出生后,就听不到声音,由于家庭经济条件受限,一直没能入院手术。直到最近她在湖南省儿童医院申领了免费的“爱心”人工耳蜗,涵涵家长牵挂的心终于可以放下了。
涵涵成功接受治疗今年春节除夕(1月28日)夜,四川绵阳10岁女孩涵涵(化名)突然出现头晕并逐渐失去意识,送往医院后被诊断为暴发性心肌炎。绵阳市中心医院多学科协作,为涵涵成功实施了体外膜肺氧合(ECMO)救治,并于近日出院。
山东临沂,9岁的涵涵在短短两周内,肚子从微微疼发展到无法忍受的剧痛,吃药打针都不见好,人也暴瘦了20多斤,父母带她去当地大医院检查,检查结果涵涵竟然得了被称为儿童肿瘤癌症之王的神经母细胞瘤,而且是晚期,治不好。
来源:漳州新闻网 危险! 事发华安! 年仅7岁的小女孩涵涵(化名)大约在凌晨4时许起床去上了个厕所,不小心踩到了一团软绵绵的东西,紧接着右脚传来一阵刺痛。 低头一看,地板上正盘踞着一条颜色鲜艳的青蛇,她立马吓得大哭了起来:“有蛇,有蛇!