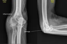
我们很多人都认为骨关节炎可能发生在膝关节、髋关节或者是手指比较多,但是确实有一部分人会发生在肘关节,而且一旦发生在肘关节问题还比较严重,因为肘关节骨关节炎会导致肘关节的骨质增生,关节会发生变形,会严重影响肘关节的旋转以及屈伸功能,而且在肘关节内侧有一个非常重要的神经,叫做尺神经,
我们在健身的时候,很多情况下,都会需要伸直手臂,例如做俯卧撑等,那么你在伸直的手臂的时候,你真的伸直了吗?有可能你已经超伸了哦。那么关节超伸是什么?有什么危害呢?今天小编就来给大家聊一聊关节超伸。什么是关节超伸关节超伸,主要是肘关节超伸和膝关节超伸。
在临床中,医生经常遇到一些复杂的病症,从内科到外科,许多疾病病理复杂,治疗康复也比较复杂,其中有一种外伤导致的病症就是其中之一,医学上称之为“恐怖三联征”,从名称上就举得特别,这到底是怎样的一种病症呢?
昨天,做了一个肘管综合征的患者,病史10余年,疼痛不适,今日查房,患者告知我,疼痛症状已经消失,手的麻木感觉明显减轻,患者自我感觉恢复良好,对治疗效果非常满意,我顿时深感轻松,病人症状只要有恢复,随着时间,感觉和运动功能都会越来越好。
健康君有一位“软妹”同事咳咳,你们别想歪...之所以叫她“软妹”是因为人家的胳膊肘可以这样小拇指可以这样大拇指还可以这样!惊为天人有没有?健康君也试了试……额,至多只能这样健康君是不是应该改名成僵直君?
6、静止或运动时膝盖骨都会过度靠近大腿骨,出现过度摩擦,时间一长出现膝盖疼痛——————————————————————四、膝超伸怎样矫正1、放松脚底筋膜我们可以选用网球或者筋膜按摩球按压痛点30秒到50秒2、拉伸放松小腿后侧肌肉注意身体重心在后面 脚尖方向向上 慢慢发力拉伸3、
大众卫生报·新湖南客户端3月30日讯(通讯员 吴妍)近日 ,家住衡阳常宁市3岁的田田在院子内跟爸爸散步时,突然踉跄往前跌倒,爸爸猛地用手一拽,造成其手臂脱位,不能上抬,十分疼痛。 田田被爸爸送到常宁市中医医院骨伤五科找到副主任医师唐昕就诊。
近年来,瑜伽是一种非常流行的运动。看着别人能解锁各种花样姿势,再看看自己“僵硬”的身体,你是不是也非常羡慕他人这种与生俱来的柔韧性?然而,从运动医学的角度来说,能毫不费力完成各种扭转、折叠等高难度动作,也并不完全是好事!这类人可能存在“多关节松弛症”。
我们常说的“关节”,一般指的是可以自由活动的部位,例如肩关节、肘关节、膝关节等这些都是可活动关节。有些人天生柔韧性好于常人,有些人则是过度或不正确的练习所导致,比如在瑜伽、舞蹈、武术等练习中,长期过度拉伸会导致胶原蛋白组织被破坏,使得维系关节的韧带变得松弛,这样关节就会出现过度灵活。