侵袭性真菌感染是一种在造血干细胞移植、实体器官移植、肿瘤化疗、广谱抗生素等治疗过程中常见的感染性疾病。2015年11月,发表在《Cochrane Database Syst Rev》的一项研究评估两性霉素B去氧胆酸盐vs脂质体两性霉素B对肾功能的影响。
2015年8月,发表于《Antimicrob Agents Chemother》的一篇文章考察了不同的AKI诊断标准对于两性霉素B诱发急性肾损伤的发病率、危险因素和对入院死亡影响评判的作用。结果显示,新的KDIGO标准相比于旧标准敏感性上升,特异性下降,对临床结局的预测能力下降。
引用本文:中华医学会呼吸病学分会感染学组. 成人抗感染药物下呼吸道局部应用专家共识 . 中华结核和呼吸杂志, 2021, 44 : 322-339. DOI: 10.3760/cma.j.cn112147-20200531-00656.
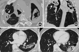
侵袭性肺真菌病日益成为临床常见的感染类型以及免疫抑制患者的重要死亡原因。念珠菌、曲霉和隐球菌是导致侵袭性肺真菌病的主要病原体。今天小编为大家整理了陕西省人民医院呼吸内科魏声泓主任的观点,欢迎大家一起交流、批评指正。
Panel on Opportunistic Infections in Adults and Adolescents with HIV. Guidelines for the prevention and treatment of opportunistic infection
噬血细胞性淋巴组织细胞增生症(HLH),又简称“噬血细胞综合征”,它的出现,对医生来说是恶魔,对病人来说是死神。今天跟随我们的病例,去体悟这个医者大战恶魔的曲折故事。飞来横"疾"五月的安徽,天刚刚燥热起来,劳动节小长假第一天,作为公交车司机的30岁的小南也迎来工作“旺季”。